Briga o osmehu

U srcu Beograda, vaš osmeh dobija sigurnost i negu

Naš tim stručnih stomatologa koristi savremenu opremu i bezbolne metode kako bi vam pružio zdrav, siguran i blistav osmeh – bez stresa i nelagodnosti.

maps
Addresa
Makedonska 17/9, Stari grad
clock
Radno vreme
Pon-Pet 10:00-20:00, Ned 10:00-15:00
mrse-hero
hero2
750+
Zadovoljnih pacijenata
hero1
Vrhunska ordinacija
Stručnost kojoj verujete
ordination
stomatološka ordinacija u srcu Beograda

Bez bola, bez straha – samo zdrav i blistav osmeh uz tim kojem verujete

Ordinacija " Mrse Dent " je moderno opremljena sa savremenom stomatološkom opremom. Rendgensko pojedinačno snimanje svakog zuba pre i nakon intervencije omogućava nam da svaki najmanji zahvat bude isprećen na najbolji mogući način. Svaka konslutacija ili stomatološki pregled kod nas je besplatan . U dogovoru sa svakim pacijentom pokušavamo da pronadjemo najbolje rešenje. Ako Vam je potreban hirurški zahvat ili mala intervencija naš ljubazni hirurg Vam stoji na raspolaganju.

Bez straha do zdravog osmeha

Nudimo sledeće usluge

icon1

Stomatološki pregled i konsultacije

Temeljna briga o zdravlju zuba i desni.

icon2

Estetski ispuni i lečenje zuba

Vraćanje prirodnog izgleda i zdravlja osmeha.

icon3

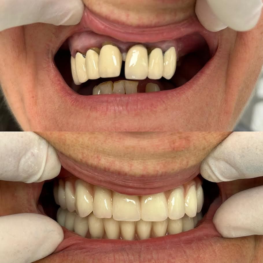
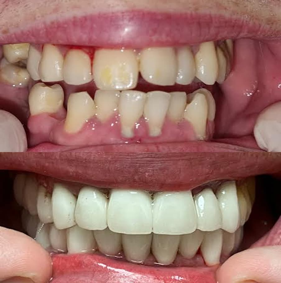
Koncept ALL-ON
4/6

Fiksni hibridni rad na 4 ili 6 implantata

icon4

Hollywood smile

Savršen, beo i simetričan osmeh filmskog sjaja.

icon5

Krunice i mostovi

Trajno rešenje za obnovu funkcije i estetike.

icon6

Izbeljivanje zuba

Brzo i sigurno do blistavo belog osmeha.

Ortopedija vilica

Ispravljanje nepravilnog zagrižaja i položaja zuba.

Dečija stomatologija

Nežna i stručna briga o dečijim zubima.

icon6

Intravenska sedacija

Bezbolni stomatološki zahvati uz potpunu opuštenost pacijenta.

Vaš osmeh, naša briga.

Šta su klijenti rekli o nama..

Ako tražite stručnog i pouzdanog stomatologa – na pravom ste mestu.Dr Ivan je bio veoma strpljiv prilikom popravke zuba.Ako dolazite kolima, parkiranje je nezgodno, pa je najbolje da se parkirate u javnoj garaži kod zgrade „Politike“ ili u onoj pored Narodne skupštine RS (na Trgu Nikole Pašića).Toplo preporučujem ovog stomatologa.
client

Katie di Nard

Odlična usluga, dva puta sam radio čišćenje kamenca u ordinaciji Mrse Dent. Jednom kod dr Ivana, a drugi put kod dr Jovane i iskreno, teško bih mogao da odlučim ko je to uradio bolje. Veoma profesionalna usluga i veoma ljubazni, otvorili su ordinaciju zbog hitnog slučaja. Odlučio sam da uradim implant kod njih, doktori su bili strpljivi sa svakim pitanjem koje sam imao. Preporučujem ih!!!
client1

Toni Prnjak

Najbolji stomatolog kod kojeg sam ikada bio, veoma profesionalan i strpljiv sa pacijentima, a što je takođe važno – sa pristupačnim cenama. Posećivao sam mnoge ordinacije, ali nikada nisam bio ovako zadovoljan.
client2

Marko Kostić

Osmeh koji traje

Najčešće postavljena pitanja..

Da li je prvi pregled kod vas besplatan?

Da, u ordinaciji Mrse Dent svaki stomatološki pregled je potpuno BESPLATAN.

Da li fiksne proteze bole kada se postave?

Sam postupak postavljanja nije bolan. Nakon par dana može se javiti blaga nelagodnost dok se zubi prilagođavaju, što je sasvim normalno.

Koji su termini rada ordinacije Mrse Dent?

Radimo svakog radnog dana, a termine zakazujemo prema dogovoru kako bismo izašli u susret pacijentima.

Da li pružate usluge i estetske stomatologije?

Da, pored standardnih stomatoloških usluga, kod nas možete uraditi i najnovije procedure estetske i antiaging medicine.

Koliko traje terapija fiksnom protezom?

Trajanje terapije zavisi od složenosti slučaja, ali u proseku traje od 12 do 24 meseca.

Da li radite i sa decom?

Naravno, ordinacija Mrse Dent pruža usluge za sve uzraste – od najmlađih pacijenata do odraslih.

Put do savršenog osmeha

Galerija slika

mrse1 mrse2 mrse3 mrse4 mrse5 mrse6 mrse7 mrse8 mrse10 mrse11 mrse9 mrse12

Zakaži pregled kod nas..

Dobrodošli u stomatološku ordinaciju Mrse Dent , koja već više od decenije sa stručnim timom i savremenom opremom brine o zdravlju i lepoti osmeha svih generacija u srcu Beograda.

Hvala! Uspešno ste poslali!
Oops! Something went wrong while submitting the form.